撰文 | slow
肺栓塞是以各种栓子阻塞肺动脉或其分支为其发病原因的一组疾病或临床综合征的总称,包括肺血栓栓塞症、脂肪栓塞综合征、羊水栓塞、空气栓塞、肿瘤栓塞[1]。肺栓塞中以肺血栓栓塞症最为常见,其血栓的主要来源于下肢的深静脉血栓形成。然而,小李医生最近看见这样一则病例,患者肺部栓塞的物质来源却令人百思不得其解,快让我们一起和小李医生寻找病因吧!
患者呼吸困难,
肺内竟发现栓塞物质!
小李医生最近看到这样一则病例[2]:
刘女士今年70岁,身高160cm,体重97kg,体重指数为38kg/m²,有50余年吸烟史。近年来,刘女士出现了轻微的呼吸困难症状,由于刘女士存在慢性阻塞性肺疾病的潜在诊断,最初以为她呼吸困难是超重、吸烟以及活动受限等原因导致的,未进行过多干预。
然而,一年后,刘女士突发头痛、呼吸困难加重、端坐呼吸和双下肢肿胀入院治疗。患者既往曾患有慢性淋巴细胞白血病(CLL),未进行治疗。此外,她有宫颈癌病史(已行子宫切除术)、高血压、肾功能不全、银屑病、胃溃疡和慢性胃炎、骨质疏松性骨折(已行椎体形成术),以及骨质疏松症和慢性阻塞性肺疾病(慢阻肺病)的潜在诊断。
入院后,患者的实验室检查结果显示:C-反应蛋白为58mg/L(参考值:
患者出现病情恶化,伴有尿酸和钾浓度升高,还有轻度血小板减少和贫血,结合上述检查结果,怀疑患者出现自发性肿瘤溶解综合征或CLL恶化。
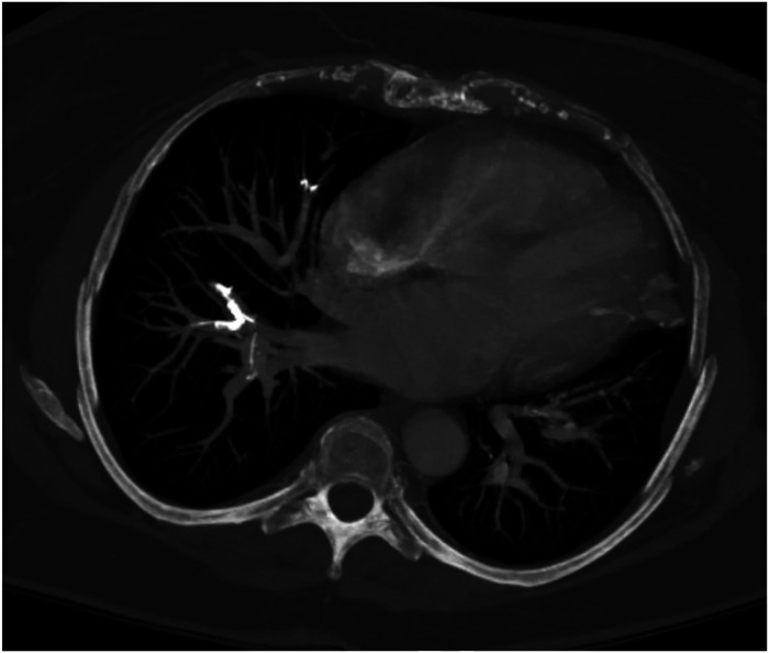
为排除转化为侵袭性淋巴瘤的可能性,对患者进行了胸、腹、盆腔的CT扫描。结果未见淋巴瘤迹象,但显示肺内存在栓塞物质。

注:计算机断层扫描显示各种肺动脉中的物质密度高于造影剂,以白色表示;血栓形成材料的密度通常低于造影剂的密度,以黑色表示。
患者肺内为何会出现栓塞?栓塞于肺内的物质从何而来?
无独有偶,这则病例提示高度一致
小李医生回忆起以前在阅读文献时,看见过这样一则病例[3]:
患者女,58岁,因出现左侧胸痛2天就诊于急诊科,胸痛为间歇性且与患者活动无关,患者并无呼吸系统症状。患者有长期吸烟史,并患有骨质疏松症和椎体压缩性骨折(已行椎体成形术)。
在急诊科,患者接受了全面的体格检查,结果未见异常。心电图检查和基础实验室检查结果也未见显著异常。为了进一步评估,进行了胸部X线检查。

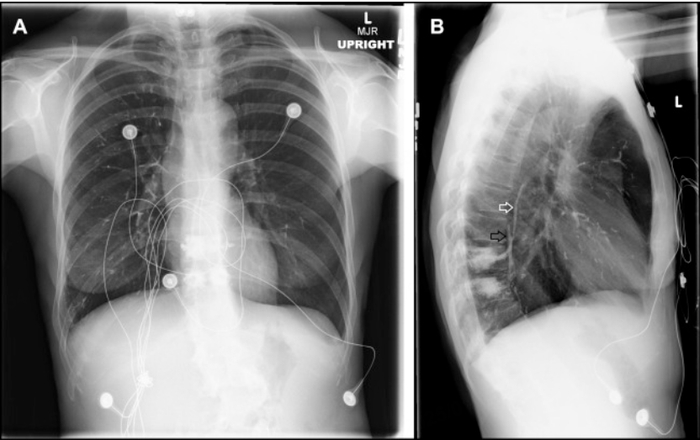
患者胸部X线的后前位片显示双侧肺部有多发管状、分支状放射性不透明影(图2A)。侧位片进一步显示这些不透明影延伸至前外静脉丛和奇静脉(图2B)。
这位患者的肺内不透明影从何而来?为何呈现这样的分布呢?
小张医生惊奇地发现,两位患者虽然临床表现不一致,但是这一点却高度一致!
这则要点你发现了吗?
两位患者究竟是何诊断?
两位患者都因出现骨质疏松性骨折行椎体形成术治疗!
经皮椎体成形术是治疗骨质疏松引起的椎体压缩性骨折的重要手段,椎体成形术和椎体后凸成形术是最常用的方法。此类手术需将聚甲基丙烯酸甲酯(PMMA)或骨水泥被注入目标椎体以减轻疼痛并稳定椎体。此类手术73%的并发症与骨水泥渗漏相关,其中,骨水泥肺栓塞是相对少见但可危及生命的并发症之一,其发生率为2.1%~26%[4]。这种并发症可能导致机械性阻塞,出现如呼吸困难和疼痛的症状,通常在手术后数周至数月内显现。
第一位患者,在术后出现相关呼吸系统症状,由于观察到高密度以及表明肺动脉高压的右/左心室比值增加,可能是由在Th11-L3进行的椎体成形术引起的,因此怀疑骨水泥肺栓塞。

第二位患者,侧位片明显发现不透明影走向,在排除其他可能胸痛病因后,最终确诊为肺水泥肺栓塞。肺水泥肺栓塞是经皮椎体成形术的已知并发症,因聚甲基丙烯酸甲酯泄漏至系统静脉而发生。此过程通常始于前外静脉丛,进而进入奇静脉、下腔静脉、右心房,最终到达肺血管床,与本患者影像表现高度一致。
骨水泥肺栓塞患者多数患者无症状,若出现症状多表现为咳嗽、胸闷、胸痛、呼吸困难等,典型症状常发生在水泥注入术后2~3天。由于多数患者无明显症状,因此,此类患者的症状主要依赖于影像学,X线胸片或胸部CT示描述部位散在或弥漫的点状、细管状或分枝高密度影。
针对骨水泥肺栓塞的治疗目前并没有统一的共识或指南,主要根据患者的临床表现。根据患者临床表现及骨水泥栓子分布,将其分为6组[4]:
(1)无症状的周围栓塞;
(2)有症状的周围栓塞;
(3)无症状的中央栓塞;
(4)有症状的中央栓塞;
(5)无症状的弥漫性栓塞;
(6)有症状的弥漫性栓塞。
目前多认为无症状的周围栓塞可以观察随访。若患者因血管内骨水泥栓子激活凝血系统继发血栓形成,在无禁忌证的情况下,应当给予低分子肝素进行治疗,降低肺梗死发生和进展的风险。若骨水泥栓子在心室腔内导致心脏穿孔或是在主动脉导致急性呼吸窘迫,保守治疗无效时,可采取紧急手术干预取出栓子。
目前,关于抗凝的时间和持续时间的作用仍不明确。对于其他非血栓性栓塞,如脂肪或液体栓塞,标准方法不包括抗凝。然而,由于水泥栓塞可能由于内皮损伤和/或异物效应而促进进一步的血栓形成,有限的抗凝治疗可以考虑。
第一位患者确认肺部栓塞的病因后,由于存在呼吸衰竭、肾功能不全等诊断,接受吸入氧气治疗,并通过液体疗法进行管理。
第二位患者确认诊断后,由于患者的评估未发现其他显著异常,且其临床病程良性,因此未进行特殊治疗。患者被安排出院,并在随后的几个月内进行临床随访。在随访过程中,未观察到患者有进一步的心肺症状或后遗症。
小结
临床医生应警惕可能未被充分诊断的肺栓塞并发症,建议在椎体成形术后出院前和随访期间对所有患者进行胸部X线检查。在出现新发或加重的症状,如胸痛和呼吸困难时,应进行胸部CT扫描以评估栓塞的可能性。这一考虑尤为重要,因为手术和活动受限本身会增加静脉血栓栓塞的风险。
参考文献:
[1] 中华医学会呼吸病学分会肺栓塞与肺血管病学组,中国医师协会呼吸医师分会肺栓塞与肺血管病工作委员会,全国肺栓塞与肺血管病防治协作组. 肺血栓栓塞症诊治与预防指南. 中华医学杂志,2018,98(14):1060-1087.
[2] Tjønnfjord E, Ho APT, Sætre DO, Raouf N. Pulmonary cement embolism: a rare complication of vertebroplasty. J Int Med Res. 2024;52(11):3000605241291447.
[3] Gabe LM, Oliva IB. Pulmonary Cement Embolism. Am J Med. 2016;129(11):e279-e280.